股骨头坏死预后好不好?关键看这3个方面!
提到股骨头坏死,很多人都会陷入焦虑:“得了这个病,最后是不是一定要换关节?”“治疗后能恢复正常走路吗?”
其实,股骨头坏死的预后并不是一成不变的,它主要取决于三个核心方面——疾病本身的分期分型及血运情况、治疗方式的选择、治疗与康复的依从性。早了解这三大方面,既能避免盲目恐慌,也能帮助我们更好地配合治疗、守护关节健康。
一、疾病本身的分期分型及血运
股骨头坏死的预后,首先由疾病本身的情况决定,核心是坏死的分期、范围与位置及血运情况,这是判断恢复效果的基础标准。
①坏死分期:
不同分期的股骨头坏死,恢复效果和治疗方向天差地别,大家可以对照参考:
ARCOⅠ、Ⅱ期:股骨头还没有塌陷,关节形态完好,此时若及时发现、规范干预,保髋成功率非常高,大多数人可以避免或推迟关节置换,预后最好;

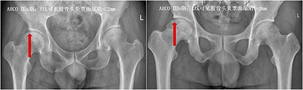
ARCO Ⅲ期:股骨头已经出现塌陷,关节功能开始受损,保髋难度明显增加,预后也会变差,部分人可能需要接受更复杂的保髋手术;

ARCO Ⅳ期:股骨头严重塌陷,还可能伴随骨关节炎,关节疼痛、活动受限明显,基本只能通过关节置换手术改善,预后主要取决于手术效果和术后康复。

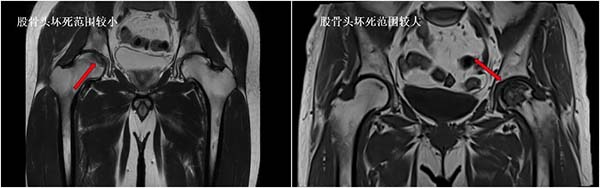
②坏死范围与位置:
除了分期,坏死的范围和位置也直接影响预后:
如果坏死范围小,且不在股骨头的“负重区”(走路、站立时承受压力的部位),股骨头不易塌陷,恢复更快,预后更好;反之,坏死范围大且位于负重区,极易出现塌陷,加重病情,预后大打折扣。

③股骨头血运情况:
除了常规评估股骨头坏死的分期分型外,对股骨头坏死进行数字减影血管造影(digital subtraction angiography, DSA),根据血管的分支情况进行不同的分型,来评估坏死股骨头的血运状态,为精准治疗方案的选择及预后预测提供客观依据:

图A可见旋股内动脉(红色箭头)、上支持带动脉(白色箭头)与下支持带动脉(黑色箭头)均显影,表明股骨头血运状态良好;图B可见旋股内动脉显影较淡薄(红色箭头),上支持带动脉未显影,仅下支持带动脉显影(黑色粗箭头),表明血运状态一般;图C可见旋股内动脉及上、下支持带动脉均未显影,表明股骨头血运状态较差
二、治疗方式的选择
在疾病本身的基础上,治疗时机和治疗方案的选择,直接决定了预后的走向——选对时间、找对方法,能最大程度改善恢复效果。
“治病要趁早”这句话,在股骨头坏死的治疗中尤为重要:如果能在早期(Ⅰ、Ⅱ期)发现病情,及时采取规范的保髋治疗(如药物、物理治疗、微创手术等),预后会显著优于拖延到股骨头塌陷后再治疗。
另外,治疗方案必须匹配病情分期:比如早期盲目选择关节置换,或者晚期还强行保髋,都会耽误病情,反而让预后变差。
划重点:早发现、早诊断,才能抓住疾病早期的“黄金恢复期”,给预后加分!出现髋部疼痛、活动不便时,一定要及时就医。
三、治疗与康复的依从性
三分治,七分养,良好的依从性决定预后的上限。
很多人忽略了康复的重要性,其实治疗后(或术后)的依从性,直接决定了预后的“天花板”——再好的治疗方案,不遵医嘱也难以达到理想效果。
如果能严格按照医生的要求,减少负重(如扶拐行走)、戒烟戒酒、停用可能损伤股骨头的药物(如激素),并坚持规范的康复训练,股骨头恢复效果会更好,预后也更理想;
反之,过早负重、不遵医嘱,很容易加速股骨头塌陷,让之前的治疗前功尽弃,预后也会大幅变差。此外,复查时的影像学指标(如骨髓水肿、新月征、股骨头圆度等),能直观反映病情进展,也需要大家重视,按时复查、及时调整方案。
股骨头坏死的预后,从来不是由单一因素决定的,但核心离不开“疾病本身的基础、科学的治疗方式、良好的依从性”这三大关键点。
无论你是正在经历股骨头坏死,还是身边有相关患者,都不用过度恐慌——只要认清病情、找对方法、做好护理,就能最大程度改善预后,守护好自己的关节功能。




